梅雨季来临,高温高湿的天气里,健身一定要科学、适量。最近,南京一名小伙去健身房训练广源优配,一通猛练,导致了横纹肌溶解综合征。
6月17日傍晚,南京市中西医结合医院接诊了一名23岁的小伙,他说自己最近频繁锻炼上肢,肌肉拉伤了,但接诊医生发现了异常。


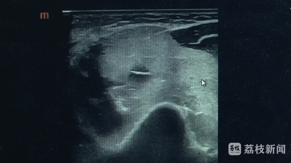
南京市中西医结合医院超声科副主任医师李亚洲介绍广源优配,进行超声检查的时候就发现,肩部上肢的肌肉广泛地肿胀,回声纹理模糊不清,和正常的一看就不一样,因为它的范围比较广,B超看了之后就怀疑这个病横纹肌溶解综合征。
小伙感觉自己精神状态不错,检查完就准备回家了,医生反复和他沟通,希望再验个血液生化检查。这一查不得了,肌酸激酶飙升到了正常值的150倍!

目前,患者正在进一步治疗。医生介绍,横纹肌溶解综合征,是由于某些因素造成骨骼肌细胞被破坏,释放大量的肌红蛋白和肌酸磷酸激酶等物质到血液里,并分解成某些有毒物质,它们可能堵塞肾组织导致肾衰。
南京市中西医结合医院体卫融合运动医学门诊 副主任中医师王金勇,除了是一个大量的单一运动会导致以外,另外在高温高湿的这种容易中暑的天气,容易发生这种横纹肌溶解征,有1/3左右的横纹肌溶解征人会发生急性的(肾)衰竭,可能会导致猝死的存在。很多人在运动后,也会出现肌肉酸痛。那么如何区别自己的是普通的肌肉酸痛还是横纹肌溶解征呢?
王金勇强调,横纹肌溶解综合征 临床上有个三个指征,一个是乏力,一个是肌肉酸痛,还有一个是深色小便或者黑茶色小便。延迟性肌肉酸痛,它是一个酸痛为主,24小时以后它逐渐就会降低了 这种酸痛的感觉,它基本上来说不动 它不会太痛,横纹肌溶解综合征不是的,横纹肌溶解综合征一旦发生以后,它这种疼痛这种胀痛这种酸痛它是逐渐加重的,另外还有说它不运动它也疼。
大盛策略提示:文章来自网络,不代表本站观点。